목차

잇몸 안쪽 뼈가 튀어나오는 현상 개요
증상의 정의와 특징
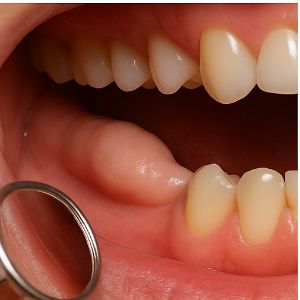
입 안쪽 잇몸에 단단한 혹처럼 느껴지는 돌출이 나타날 때, 이를 흔히 골융기(骨隆起)라고 합니다. 실제로는 혹이 아니라, 잇몸 아래 뼈가 과하게 자라서 돌출된 구조예요. 단단하고 움직이지 않으며, 보통 통증은 없답니다. 원인은 뚜렷하지 않지만, 선천적으로 갖고 태어나는 경우도 있고, 나이가 들며 조금씩 자라기도 해요.

나타나는 위치와 형태
골융기는 다음과 같은 위치에서 주로 발견돼요:
- 아랫니 안쪽, 흔히 혀 쪽 방향인 아래턱 뼈 부분
- 위턱 안쪽, 입천장 쪽 몇몇 부위에도 나타날 수 있어요
특징은 다음과 같아요:
- 딱딱하고 단단한 혹처럼 올라와요.
- 표면이 매끈하거나 둥글게 보이기도 하고, 울퉁불퉁하거나 튀어나온 형태인 경우도 있어요.
- 대부분 통증은 없지만, 아주 단단한 음식이나 자극이 있을 경우 불편함이 있을 수 있어요.
다른 가능성도 있는데요, 골융기와 비슷하게 염증 등 다른 원인 때문에도 잇몸이 불룩하게 느껴질 수 있어요. 예를 들어 치주농양 같은 경우는 염증 때문에 부푼 모습이 흔히 '혹처럼' 느껴질 수 있고, 통증이나 고름, 잇몸 붓기 등의 증상이 동반될 수 있죠.

잇몸 안쪽 뼈가 튀어나오는 주요 원인
유전적 요인
잇몸 안쪽에 뼈가 생기는 골융기는 가족력에 의해 나타나는 경우가 많아요. 부모님이나 조부모님 중에도 비슷한 증상이 있었다면, 나에게도 유전될 확률이 꽤 있죠. 이렇게 유전적으로 타고난 뼈 구조가 입 내부에서 돌출되는 현상입니다 .

치아 배열 및 교합 문제
- 부정교합이나 교합 불균형이 있을 때, 잘 맞지 않는 치아 사이로 잇몸뼈에 지속적인 자극이 가해질 수 있어요. 이 자극이 뼈 증식을 촉진하면서 돌출이 생길 수 있는 거죠 .
- 또한, 한쪽으로만 씹거나, 이갈이 등의 습관도 특정 부위에 반복적인 압력을 주어서 뼈가 두꺼워지거나 튀어나오게 만들기도 해요 .

잇몸뼈(치조골)의 비정상적 성장
뼈 자체가 과도하게 자라거나 비정상적인 구조 변화를 일으키는 경우도 있어요. 이는 유전이나 습관적 자극 등 다양한 요인으로 인해 나타날 수 있답니다 .
외상 및 기타 요인
- 교정을 받는 중에도 뼈가 특별한 자극에 반응하여 튀어나오는 경우가 있어요. 교정력이라는 외부 자극이 뼈 성장에 영향을 줄 수 있거든요 .
- 그 외 틀니 사용, 교합 문제, 이갈이, 그리고 부적절한 저작 습관 등이 뼈에 자극을 주어 골융기를 유발할 수 있어요 .

동반될 수 있는 증상
이물감과 불편함
잇몸 안쪽에서 뼈가 튀어나온 느낌이 든다면, 이물감이나 불편함이 자주 느껴질 수 있어요. 특히 부위가 혀나 손가락으로 닿을 때 딱딱하게 느껴지면서 신경 쓰일 수 있죠. 일반적으로 통증은 없지만, 이 부위가 민감하게 느껴지는 분들도 계세요. 하이닥 상담 기록에 따르면, "잇몸 주변에 골융기가 형성되어... 일부 개인들은 잇몸 외골증으로 인한 통증을 경험할 수 있습니다... 외골증이 있는 부위에서 음식물이 끼일 수도 있어 불편함을 느낄 수 있습니다"라고 했어요 .

음식물 끼임 및 청결 문제
튀어나온 부위가 있으면 음식 찌꺼기가 자주 걸릴 수 있어요. 청결하게 관리하지 않으면 잇몸 건강에도 영향을 줄 수 있죠. 음식물이 끼는 현상은 단순히 불편함을 넘어서, 충치나 잇몸 질환, 입냄새의 원인이 될 수도 있다는 치과 전문 콘텐츠도 있어요 . 잇몸 주변에 음식물이 자꾸 쌓이면 세균 번식이 쉬워져 염증이나 치주 질환 위험도 높아질 수 있어요.
말하거나 씹을 때의 불편감
뼈가 있는 부분이 혀가 닿는 위치라면, 말하거나 음식을 씹을 때 은근히 신경 쓰일 수 있어요. 뭔가 걸리는 느낌이 들거나, 말할 때 부자연스럽다는 느낌이 들 수도 있죠. 이러한 불편감이나 이물감 자체가 스트레스가 될 수 있어요. 특별한 염증이나 통증은 없더라도, 이런 미세한 감각 하나하나가 계속 신경 쓰이게 만들 수 있답니다.

진단 방법
시각적·촉진 검사
치과에서는 대부분 먼저 눈으로 보고 손가락으로 만져보며 시각적·촉진 검사를 진행합니다. 입 안을 살펴보면 잇몸 안쪽, 특히 아랫니 혀쪽 부위에서 딱딱한 뼈 돌출이 있는지를 눈으로 확인할 수 있어요. 그리고 손끝으로 살짝 눌러보면 형태나 단단한 정도를 느낄 수 있는데, 이 과정만으로도 골융기(예: torus mandibularis)는 진단할 수 있는 경우가 많습니다 .

치과 방사선(X-ray) 촬영
시각적 검사만으로 충분한 경우도 있지만, 필요할 때는 엑스레이 촬영도 사용됩니다. 일반적인 파노라마 X-ray나 치아 전체를 보는 엑스레이 사진에서는, 하얗게 나타나는 골융기 형태가 확인되기도 해요 .
이 방법은 단순한 확인뿐 아니라, 혹시 다른 뼈나 조직의 이상과 착각할 수 있는 질환(종양 등)을 구분하는 데도 도움을 줍니다 .
정밀 구강 검진 (CT 촬영 등)
보다 정확하게 크기, 형태, 위치를 알고 싶을 때는 CT(컴퓨터 단층촬영)를 활용하기도 합니다. CT는 뼈 구조를 입체적으로 볼 수 있어, 골융기의 세부적인 특성을 파악하는 데 매우 유용합니다 .
그러나 일반적인 진단에서는 대부분 시각적 검사와 엑스레이만으로 충분하며, CT는 필요시 보조적으로 활용됩니다 .

치료 및 관리 방법
경과 관찰 및 생활 관리
잇몸 안쪽 뼈(골융기)는 대부분 별다른 증상이 없으면 그냥 지켜보는 경우가 많아요. 불편하지 않고 일상에 지장을 주지 않는다면 특별한 치료 없이도 괜찮습니다. 이를 경과 관찰이라고 하는데, 정기적으로 치과에서 상태 변화를 체크하는 정도만 해도 충분하답니다 .
치과적 교정 치료
보철물, 틀니, 또는 교정 장치 만들 때 골융기가 방해가 된다면, 치과적 조정이나 보조 장치 사용을 고려할 수 있어요. 예를 들어, 틀니가 맞지 않는 경우 얇고 부드러운 라이너를 사용하거나, 장치 설계를 바꿔서 뼈에 자극이 덜 가도록 할 수 있죠 .

외과적 수술 필요 여부
다음과 같은 경우에는 외과적 제거를 검토하게 됩니다:
- 통증, 발음 불편, 잇몸 궤양 등 불편한 증상이 있을 때
- 보철물 제작이나 틀니 착용 시 방해가 될 때
- 반복적인 외상(입안 자극)에 의해 염증이 생길 때
- 암에 대한 걱정(이 부위가 혹처럼 보여서) 등 심리적 불안이 있을 때 .
수술은 주로 구강악안면외과 전문의에게 의뢰해서 진행하고, 국소 마취 또는 필요에 따라 진정 또는 전신마취로 안정적으로 시행돼요 .
제거 방법은 보통 다음과 같이 진행돼요:
- 잇몸을 절개해서 뼈 돌출 부위를 드러내고
- 드릴이나 버를 사용해 뼈를 깎거나 다듬어서
- 잇몸을 다시 봉합하는 방식이에요 .
수술 후 관리 및 회복
수술을 했다면 다음과 같은 회복 단계와 관리 사항이 중요해요:
- 초기 관리 (1~2일): 출혈과 부기 조절을 위해 거즈를 물고, 얼음찜질을 하면 도움이 돼요.
- 식사: 첫 며칠은 부드러운 음식을 섭취하고, 뜨거운 음식은 피하는 게 좋아요 .
- 구강 위생: 24시간 정도는 물로 헹구지 말고, 이후에는 따뜻한 소금물로 부드럽게 헹구기를 추천해요. 칫솔질은 가능한 부드럽게 하고, 수술 부위를 자극하지 않도록 주의해 주세요 .
- 회복 기간: 잇몸 조직이 처음 아물리는 데는 약 1~2주, 뼈가 완전히 회복되려면 몇 주에서 몇 달까지 걸릴 수 있어요. 보통 4주 정도면 일상생활에는 지장이 없을 정도로 회복된답니다 .

수술의 이점과 위험
이점:
- 통증이나 궤양, 발음 불편 해소
- 틀니나 보철물 착용 시 맞춤성이 좋아짐
- 구강 위생 관리 용이해짐
위험:
- 출혈, 감염, 부기, 통증
- 드물게 신경 자극으로 인한 혀나 입술의 일시적인 저림
- 매우 드물게 상악동이나 코와 연결되는 문제 발생 가능
- 거의 재발은 없지만, 오래 지나면 다시 자랄 가능성은 아주 낮게 있어요 .
요약하자면, 특별히 불편하지 않다면 경과 관찰 중심의 관리가 먼저이고, 불편하거나 치료 계획에 지장이 있을 경우에는 외과적 제거가 알맞아요. 치료 방법마다 장단점이 있으니, 치과 전문의와 자세히 상담하며 결정하시는 게 중요해요.
예방 및 관리 습관
올바른 구강 위생 관리
입안 청결은 기본 중의 기본이에요! 하루에 양치질을 두세 번, 치실 사용과 항균 성분이 있는 구강세정제를 활용하시면 잇몸에 자극이나 염증이 생기는 것을 줄이고, 잇몸뼈에 자극이 덜 가게 도와드릴 수 있어요. 이렇게 구강 내 세균을 줄이는 일은 골융기의 악화나 자극 가능성을 낮추는 데에도 중요한 역할을 한답니다 .
정기적인 치과 검진
혹시 잇몸 안쪽에 뼈가 튀어나온 것 같다면, 치과 정기 검진을 받는 것이 가장 안전한 방법이에요. 이런 변화는 스스로 인지하기 쉽지 않아서, 치과에서 전문가가 눈으로 확인하고 관찰을 도와주거든요 . 정기적으로 검진받으면 혹시 생길 수 있는 불편함이나 문제를 초기에 발견해서 관리할 수 있어요.

잘못된 생활습관 교정
몇 가지 습관만 조절해도 도움이 될 수 있어요! 이를테면, 이갈이(브룩시즘)나 치아 교합이 안 맞는 상태는 턱뼈에 과도한 압력을 줄 수 있는데, 이런 자극이 골융기 발생이나 악화를 유도할 수 있어요 .
또한, 비타민 D나 칼슘 부족도 뼈 건강과 관련이 있으니까, 균형 잡힌 식사를 통해 비타민과 칼슘 섭취를 챙기시는 게 좋습니다 . 그리고 딱딱하거나 자극적인 음식을 과하게 먹는 것도 피하시는 것이 바람직해요. 잇몸 자극을 줄이고 편안한 환경을 유지하는 데 도움이 됩니다 .
일상생활에서의 주의사항
음식 섭취 시 주의할 점
입 안쪽 뼈 돌출 부위가 자극되지 않도록 주의하는 게 중요해요. 너무 딱딱하거나 날카로운 음식은 피하시고, 가능한 한 부드러운 음식 중심으로 드시는 게 좋아요. 특히 팝콘, 견과류, 칩, 빵 껍질처럼 딱딱하거나 부서지는 음식은 자극이 될 가능성이 높아요 .
말이나 씹는 도중 부딪히거나 긁히면 잇몸이 다치거나 염증이 생길 수 있으니, 조심히 드세요. 또, 음식물을 먹을 때에는 그 부위에 직접 닿지 않도록, 가능한 반대쪽으로 씹는 것도 좋은 방법이에요 .
구강 관리 도구 선택법
양치할 때는 부드러운 솔의 칫솔을 선택해서 잇몸이나 뼈 돌출 부위를 과하게 문지르지 않도록 조심해야 해요. 예리한 자극 없이 부드럽게 닦는 게 중요하거든요 .
그리고 칫솔질 후에는 따뜻한 생리 식염수로 부드럽게 헹구는 것도 추천해요. 단, 너무 세게 헹구면 오히려 자극이 될 수 있으니 조심하세요 .
증상이 심해질 때 대처 방법
혹시 다음과 같은 변화가 생기면 즉시 치과에 상담해 보시는 게 좋아요:
- 통증이 느껴지거나 염증, 붉은 기운이 나타날 때
- 씹거나 말하기 어려워지거나, 입안 돌출 부위가 갑자기 커지거나 여러 개 생겼다고 느껴질 때
- 그 부위에 음식물이 자주 끼어서 불편하다면 .
특히 이런 변화는 단순한 뼈 돌출뿐 아니라 다른 질환과 혼동될 수 있으니, 치과에서 정밀 검진을 받는 것이 중요해요 .
결론
잇몸 안쪽 뼈 돌출 현상 요약
잇몸 안쪽, 특히 아래턱 혀 쪽에 생기는 골융기(잇몸 안쪽 뼈 돌출)는 원래부터 있거나 나중에 자라기도 하는, 보통은 해롭지 않은 뼈 돌출이에요.
대부분의 경우 통증 없이 지내지만, 치아 관리나 보철물 착용 시 불편함을 줄 수 있고, 말하거나 씹기에도 방해가 될 수도 있답니다.
조기 진단과 꾸준한 관리의 필요성
자신이 모를 수도 있지만, 치과 정기 검진에서 전문가가 잘 확인해 주는 것이 중요해요.
조기에 발견하고 눈여겨보면, 치료가 필요한 상황인지, 그냥 두어도 되는지를 판단하기 쉬워지고, 치료가 필요할 경우 수술 계획도 더 안전하게 세울 수 있어요.
특히 골융기의 크기나 위치가 바뀌거나, 통증·출혈·염증 같은 변화가 생긴다면 바로 치과에 상담하는 것이 좋습니다.
건강한 구강 생활을 위한 조언
- 규칙적으로 치과에 가서 검진받기는 필수예요. 소소한 변화도 놓치지 않게 해주거든요.
- 평소에도 올바른 잇몸 관리를 꾸준히 하면 세균이나 자극으로부터 잇몸을 지킬 수 있어요. 양치랑 치실, 구강 세정제 사용이 도움이 됩니당.
- 단단하거나 자극적인 음식 피하고, 군데군데 자극될 수 있는 습관이 있다면 (이를테면 이갈이나 한쪽으로만 씹기) 바로잡는 게 좋아요.
치아 잇몸 뼈가 녹는이유
목차치아 잇몸뼈의 역할과 중요성잇몸뼈가 녹는 현상 개요치아 잇몸뼈가 녹는 주요 원인잇몸뼈 손실의 증상진단 방법치료 및 관리 방법예방 방법결론치아 잇몸뼈의 역할과 중요성치조골(잇몸
precious.kimsinfo.info
갈비뼈 골절 치료기간
목차갈비뼈 골절 개요갈비뼈 골절 증상진단 방법치료 원칙갈비뼈 골절 치료 기간회복을 돕는 생활 관리치료 중 주의사항결론갈비뼈 골절 개요- 갈비뼈 골절이란?갈비뼈 골절은 가슴을 둘러싼
precious.kimsinfo.info
'건강' 카테고리의 다른 글
| 우측 갈비뼈 아래 통증 (0) | 2025.08.21 |
|---|---|
| 갈비뼈 실금 발생 원인과 보험 청구 절차 (0) | 2025.08.21 |
| 치아 잇몸 뼈가 녹는이유 (0) | 2025.08.21 |
| 갈비뼈 골절 치료기간 (0) | 2025.08.21 |
| 뼈골절 회복기간 (0) | 2025.08.20 |