목차

1.복부초음파 개요
정의
복부초음파는 우리 눈에 보이지 않는 높은 주파수의 소리(초음파)를 배 위에 대고 보내서, 몸속 장기와 혈관 구조를 실시간으로 영상으로 보는 검사입니다. 이 검사는 방사선을 사용하지 않고 통증이나 위험이 거의 없어, 안전하게 여러 번 반복할 수 있어요 .
검사 원리와 방식
음파 발생과 전달
초음파 기기에는 ‘탐촉자(transducer)’라는 작은 기계가 있는데, 이 기기가 전기 신호로 초음파를 만들어 몸속으로 보내요. 이때 사용하는 주파수는 사람이 들을 수 없는 높은 소리, 보통 2~5MHz 정도예요 .
반사와 신호 수신
초음파가 배 안 장기나 조직에 부딪히면 일부는 반사되어 돌아오고, 이 반사파를 탐촉자가 받아 전기 신호로 바꿔요. 컴퓨터가 이 신호를 이용해서 화면에 영상으로 보여줍니다 .
이미지 생성
영상이 만들어지는 원리는 시간(반사파가 돌아오는 속도)과 강도(얼마나 세게 반사되었는지)를 컴퓨터가 계산해 이미지의 위치와 밝기를 결정하는 방식이에요. 깊이가 깊을수록 반사되는 시간도 길어지고, 반사파가 세면 화면에서 밝게 나타나요 .



장점과 한계
초음파의 장점은 다음과 같아요:
- 실시간 영상으로 움직임을 바로 확인 가능
- 방사선 노출이 없어서 안전함
- 장비가 비교적 간단하고 저렴해요 .
하지만 단점도 있어요:
- 장기의 위치에 의해 공기나 뼈가 있으면 영상이 흐려질 수 있어요
- 비만인 경우 영상 품질이 떨어질 수 있어요
- 검사자의 숙련도에 따라 영상 결과가 달라질 수 있어요 .
2.복부초음파로 확인할 수 있는 주요 장기
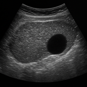
간
간은 복부초음파에서 가장 먼저 살펴보는 장기예요. 초음파로 지방간, 간경변, 결절, 낭종, 혈관종, 간암 등 여러 가지 변화를 감지할 수 있고, 간 기능 검사에 이상이 있을 때 특히 중요하게 확인해요.
담낭과 담관
담낭은 담석이나 담낭염, 담낭 벽 두께 변화 등을 확인하는 데 아주 유용하답니다. 담관의 확장이나 폐쇄 여부도 복부초음파로 간접적으로 알아볼 수 있어요.
췌장
췌장은 위장 뒤쪽 깊숙이 숨겨져 있어서 장내 가스나 체형에 따라 관찰이 어려울 수 있지만, 초음파로 급성 또는 만성 췌장염, 혹은 종양 가능성도 살펴볼 수 있어요.
비장
비장은 크기나 모양 변화를 통해 비장비대나 손상 가능성을 확인할 수 있어요. 일부 염증이나 외상과 관련된 변화도 잡아낼 수 있답니다.



신장과 부신
신장은 결석, 수신증(소변이 막혀 고여서 생긴 변화), 낭종, 종양 등의 상태를 초음파로 볼 수 있어요. 부신은 위치가 작고 깊지만, 우연종 같은 병변이 의심될 때 관찰할 수 있답니다.
방광과 전립선(남성) 또는 자궁·난소(여성)
- 남성은 전립선 상태나 비대, 염증, 혹은 종양 여부를 확인할 수 있어요.
- 여성의 경우 자궁이나 난소 상태를 살펴보며, 난소 낭종, 자궁 근종, 혹은 다른 병변 의심도 파악할 수 있답니다.
또한 방광 상태, 예를 들어 잔뇨나 방광벽 상태도 초음파로 확인 가능해요.
각 장기를 개성 있게 한 문장의 감탄과 함께 설명하자면, 초음파를 통해 우리 몸속 모습이 살아 움직이는 듯 생생하게 보이니까 신기하고 정말 편리하죠!



3.복부초음파로 알 수 있는 대표 질환
간 질환
- 지방간
간에 기름이 쌓이면 초음파에서 밝고 반짝이는 모습으로 보일 수 있어요. 요즘 지방간이 흔한데, 초음파로 쉽게 확인되서 유용합니다. - 간경변
만성 염증으로 간이 딱딱해지고 울퉁불퉁해지는 상태예요. 초음파에서 간 표면이 거칠고 모양이 변형된 모습으로 나타나요. - 간암(간 종양)
덩어리나 혹처럼 생긴 이상이 초음파 화면에 포착될 수 있어요. 양성 종양인지 악성인지 구분하려면 추가 검사가 필요할 때도 있어요.
담석증과 담낭염
- 담석증
담낭 안에 작은 돌이 생긴 거예요. 초음파에는 그림자처럼 뚜렷하게 나타나서 찾기 쉬워요. - 담낭염
담낭에 염증이 생기는 것으로, 두꺼워진 벽이나 주변에 생긴 변화가 화면에 보여요.
췌장염과 췌장 종양
- 췌장염
췌장이 붓거나 염증이 생긴 상태로, 초음파로 일부 변화가 감지되기도 해요. 다만 위치가 깊어서 보기 어려울 때도 있어요. - 췌장 종양
췌장 안의 혹이나 덩어리가 보여질 수 있지만, 췌장의 깊은 위치 때문에 선명하게 보이지 않는 경우도 많아요.



비장 비대
- 비장비대
비장이 커지는 질환이에요. 초음파로 비장 크기나 모양 변화를 확인하고, 비장이 커지는 이유를 살펴볼 수 있어요.
신장 결석, 신부전, 낭종
- 신장 결석
콩팥에 생긴 작은 돌들은 초음파에서 반짝이며 그림자를 동반해 쉽게 보일 수 있어요. - 신부전 (수신증 등)
소변이 막혀서 신장이 붓는 상태를 ‘수신증’이라고 하는데요, 초음파로 신장의 부종이나 이상을 확인할 수 있어요. - 신장 낭종이나 종양
주머니처럼 생긴 낭종이나 덩어리가 있으면 초음파로 확인 가능해요.
복부 종양과 복수
- 복부 종양(낭종, 종양)
간, 신장, 또는 다른 복부 장기에 생긴 혹들은 초음파에서 덩어리로 보여요. 가끔은 원래 장기가 아닌 곳에 생긴 종양도 보여요. - 복수 (복강 내 물)
배에 물이 고이는 현상이에요. 초음파로 액체가 있는 곳을 쉽게 볼 수 있어서, 복수가 있는지 확인할 때 매우 유용해요.



4.복부초음파 검사 필요 증상
복통
복통은 복부초음파를 받게 되는 가장 흔한 이유 중 하나예요. 예를 들어 충수염(맹장염)은 우측 하복부의 통증과 구토, 발열 동반 시 복부초음파로 진단되는 경우가 많고요. 또, 소화불량 비슷한 위장 불편함—복부팽만, 오심 등—이 자주 나타난다면, 초음파로 구조적인 이상이 있는지 확인하는 것이 아주 중요하답니다.
소화불량
속이 더부룩하고 음식이 소화되지 않는 느낌이 들 때, 혹시 위궤양이나 위장에 구조적 이상이 있는지 확인해야 할지도 몰라요. 이럴 땐 내시경뿐만 아니라, 복부초음파로도 관련 구조를 살펴볼 수 있어요.
황달
피부나 눈 흰자가 노랗게 변하는 ‘황달’ 증상은 특히 간이나 담도 쪽에 이상이 있을 가능성이 높아요. 간염, 간경화, 담도 폐쇄, 돌 같은 원인이 있을 수 있고, 이런 경우에 복부초음파로 이상을 확인하는 것이 좋답니다.
혈뇨
소변에 피가 섞여 나오면 신장이나 요로에 문제가 있을 수 있어요. 혈뇨의 원인이 될 수 있는 신장 결석, 낭종, 종양, 수신증(소변이 막혀 신장이 부어오르는 상태) 등을 복부초음파로 확인할 수 있어요.
체중 변화
갑자기 살이 빠지거나 불가사의하게 찌는 경우도 중요한 신호예요. 복부에 종양이나 복수가 생긴 경우, 장기 기능 이상으로 이런 변화가 나타날 수 있어요. 초음파는 복수(복강 내에 물이 고인 상태) 여부나 종양 등의 이상을 확인하는 데 매우 유용하답니다.
한마디로, 복통, 소화불량, 황달, 혈뇨, 체중 변화 같은 증상들은 모두 복부 장기나 구조에 이상이 있을 가능성을 보여주니, 복부초음파로 미리 확인해 보는 것이 현명해요!



5.검사 준비 방법
금식 필요 여부
상복부 초음파 검사를 받으실 때는 6~8시간 정도 금식이 필요해요. 가능한 경우에는 12시간 이상 공복이 좋다고 안내하는 곳도 있어요. 금식해야 하는 이유는 음식이나 가스로 인해 장기가 가려져서 영상이 흐릿해질 수 있기 때문이에요. 특히 기름진 음식은 담낭을 수축시켜서 관찰을 방해해요.
물이나 약을 복용해야 한다면 소량의 물과 함께 약을 드시고 괜찮아요! 다만 껌 씹기나 흡연은 공기를 삼키게 해 복부 팽만을 유발하므로 삼가주셔야 해요.
복부 팽만 방지 팁
- 공복 유지가 가장 중요해요. 음식뿐만 아니라 음료도 피해야 해요.
- 껌, 탄산음료, 흡연은 공기를 삼키게 해서 복부 팽만을 악화시킬 수 있어요.
- 검사 전날 저녁에는 기름지거나 소화를 방해하는 음식을 피하고, 소화가 잘 되는 가벼운 음식 위주로 드시는 게 좋아요.
검사 전 복용 약물 조절
- 고혈압약, 당뇨약 등 평소 드시던 약은 소량의 물과 함께 복용해도 괜찮아요.
- 특별히 약 복용을 멈추라는 지시가 없다면, 병원에서 안내받은 대로 따라주시면 됩니다.
- 당뇨 등 특정 질환이 있는 분은 병원에 미리 말씀하셔서 준비 방법을 조정하시는 게 좋아요.



6.검사 진행 과정
검사 소요 시간
- 상복부 초음파 검사는 보통 10~15분 정도면 마무리되는 경우가 많아요. 숙련된 방사선과 의사가 검사하면 대부분 이 시간 안에 끝나요. 복잡한 경우에는 더 오래 걸리기도 합니다 .
- 미국 메이요 클리닉 기준으로는 약 30분 정도 소요된다고 안내하고 있어요 .
- 호주 의료기관에서는 20~40분 정도 소요된다고도 하는데, 검사 종류나 상황에 따라 달라질 수 있다는 점 참고해 주세요 .
검사 시 체위와 초음파 탐촉자 사용
- 보통 검사는 엎드리지 않고, 천장을 보고 똑바로 누운 상태에서 시작해요. 팔은 머리 위로 올리기도 하고요 .
- 상황에 따라 옆으로 눕거나 반쯤 몸을 일으킨 자세, 숨을 깊이 쉬거나 참는 동작을 함께 할 수도 있어요. 이런 동작을 통해 간이나 담낭처럼 갈비뼈 아래 장기를 더 잘 볼 수 있도록 도와준다네요 .
- 검사할 때는 초음파 젤을 배에 바르고, 그 위에 탐촉자(프로브)를 밀착시켜서 움직이면서 장기 영상을 잡아요 .
검사 중 느낄 수 있는 감각
- 초음파 자체는 전혀 아프지 않아요. 무통 검사로 널리 알려져 있죠 .
- 단지 차가운 젤이 피부에 닿으면 약간 냉한 감촉이 들 수 있고, 탐촉자를 누를 때 살짝 압박감이 느껴질 수 있어요. 특히 그 부위가 아픈 상태면 더 그럴 수 있어요 .
- 도플러 초음파를 사용할 경우, 검사가 진행되는 동안 피가 흐르는 소리가 ‘두둥~’ 하며 들릴 수 있어요, 기계가 혈류 소리를 들려주거든요 .



7.검사 결과 해석
정상 소견과 비정상 소견
복부초음파에서 정상 소견은 “언리마커블(unremarkable)” 또는 “특이 소견 없음” 같은 표현으로 나타나요. 예를 들어 간, 췌장, 비장, 신장 등이 특별한 이상 없이 보이면 정상으로 간주되죠.
비정상 소견은 장기별 여러 모습으로 드러날 수 있어요. 대표적으로는 간에 종괴나 지방간, 담낭이나 담도에 돌이나 염증, 신장의 수신증(소변이 고이는 현상), 결석, 복수(복강 내 물) 등이 있고, 맹장염이나 충수염, 복강 내 농양, 동맥류도 발견될 수 있어요.
추가 검사 필요 여부
비정상 소견이 나올 경우, 영상이나 조직 검사가 필요할 수 있어요. 예를 들어 간의 모호한 병변은 CT 스캔으로 보다 선명하게 확인하거나, 조직검사(바이옵시)를 통해 확실히 진단하기도 한답니다.
담낭 관련 이상이 의심되면, 혈액검사, HIDA 스캔, MRCP, 또는 내시경적 검사가 추가될 수 있어요.
췌장 이상의 경우에도 MRI, 내시경 초음파(EUS) 같은 정밀검사나 조직검사가 필요할 수 있어요.
주치의 상담 포인트
- 소견 요약과 다음 단계: 방사선 전문의는 보고서에서 중요한 결과를 요약하고, “추가 검사 필요” 또는 “경과 관찰 필요” 같은 안내를 같이 해줄 수 있어요.
- 증상과의 연결: 초음파 결과가 증상과 맞는지, 예를 들어 초음파에 아무 이상이 없는데 통증이 지속된다면 추가적인 원인 탐색이 필요할 수 있겠죠.
- 치료나 대안: 지방간이나 경미한 질환의 경우 생활습관 개선이나 주기적 모니터링, 반대로 중대한 이상 발견 시 치료나 수술계획 상담이 이루어질 수 있어요.
- 추적 관찰 일정: 아주 미세하거나 확실치 않은 병변의 경우, 몇 개월 후 추적 초음파 또는 CT/MRI 재검사를 권할 수 있어요.
- 기존 검사와 비교: 이전 영상이 있다면 비교하여 변화 여부를 확인하는 것이 매우 중요하답니다
8.복부초음파 장단점
장점
- 비침습적이고 안전해요
방사선을 사용하지 않아서 특히 임신 중이거나 아이들도 안전하게 받을 수 있고, 인체에 거의 해가 없어요. 검사 중 별다른 고통도 없어서 부담 없이 반복할 수 있답니다 . - 실시간 영상으로 변화를 바로 확인 가능해요
검사를 하면서 실시간으로 화면을 보며 장기가 움직이거나 병변이 있는지 확인할 수 있고, 필요하면 바로 조직검사나 치료까지 이어질 수 있어요 . - 빠르고, 가까운 곳에서도 받을 수 있어요
외래나 침상 옆에서도 검사가 가능하고, 검사 시간도 비교적 짧으며 비용도 저렴한 편이에요 . - 간편하고 반복 가능해요
통증이 거의 없고 검사 준비도 간단해서 여러 번 검사해야 할 경우에도 편안하게 받을 수 있어요 .
단점
- 장기의 위치나 체형에 따라 관찰이 어려울 수 있어요
특히 장내 가스나 공기, 갈비뼈 등으로 인해 초음파가 통과하지 못하면 영상이 흐릿해지거나 잘 안 보일 수 있어요 . - 비만인 경우 영상 품질이 떨어질 수 있어요
지방층이 두껍게 쌓인 경우 초음파 파장이 전달되기 어려워서 세부적인 병변을 놓칠 위험이 있어요 . - 검사자의 경험과 숙련도에 크게 좌우돼요
같은 검사도 누가 보느냐에 따라 영상의 퀄리티와 해석 정확도가 달라져요 . - CT나 MRI만큼 세밀하게는 보기 힘들어요
초음파는 해상도가 CT나 MRI보다 낮아서 미세한 병변을 발견하는 데 한계가 있을 수 있어요 . - 시야 범위가 제한될 수 있어요
일부 장기나 깊은 부위는 시야가 좁아져 전체를 한눈에 보기가 어려우며, 영상의 범위에서도 제약을 받을 수 있어요 .
9.자주 묻는 질문(FAQ)
복부초음파는 얼마나 자주 받아야 하나요?
기본적으로는 증상이 있거나 특정 질환이 의심될 때 주치의 판단에 따라 검사를 받아요. 다만, 만성 간 질환이 있거나 간암 위험이 있는 경우, 특히 간암 선별검사로는 6개월마다 초음파와 혈액검사(AFP 등을 함께)를 반복하는 것이 권장돼요 .
또 65~75세 흡연 이력이 있는 남성에게는 한 번만 복부 대동맥류 선별 초음파를 권하는 경우도 있어요 .
임산부나 어린이도 검사 가능한가요?
네, 복부초음파는 방사선을 안 쓰고 안전하게 장기를 들여다보는 방법이어서 임산부나 태아, 그리고 어린이까지 모두 받을 수 있어요 . 특히, 산과 초음파(태아 초음파)는 매우 일반적이며 안전한 검사로 자리 잡았어요 .
보험 적용이 되나요?
한국에서는 상복부 초음파가 2018년 4월 1일부터, 그리고 하복부 초음파가 2019년 2월 1일부터, 국민건강보험에 급여 적용되고 있어요. 간경화, 담낭 용종, 췌장 낭종 같은 여러 질환도 범위에 포함됩니다 .
응급이나 중환자실에서 사용하는 POCUS(처치현장 초음파)도 2019년 7월부터 보험 적용이 확대된 상태입니다 .
다만, 일부 선택 검사나 건강검진용 초음파의 경우에는 비급여로 처리될 수 있으니, 병원 예약 시 미리 확인하는 것이 좋아요. 의료비 부담을 줄이려면, 보험 적용 여부를 꼭 체크해 주세요.
대장암에 좋은 음식과 안 좋은 음식
목차1. 대장암과 음식의 관계2. 대장암에 좋은 음식3. 대장암 예방에 도움이 되는 식습관4. 대장암에 안 좋은 음식5. 대장암 환자를 위한 식단 구성 팁6. 대장암 예방과 건강 유지 생활습관1. 대장
precious.kimsinfo.info
폐렴구균 예방접종 부작용
목차1. 폐렴구균 예방접종이란2. 폐렴구균 예방접종 종류3. 접종 대상자4. 일반적인 부작용5. 드물게 나타나는 심각한 부작용6. 부작용 발생 시 대처 방법7. 부작용을 줄이기 위한 주의사항8. 폐렴
precious.kimsinfo.info
'건강' 카테고리의 다른 글
| 혈압약 복용시간 (0) | 2025.08.16 |
|---|---|
| 사구체 여과율 정상수치 (0) | 2025.08.15 |
| 대장암에 좋은 음식과 안 좋은 음식 (0) | 2025.08.14 |
| 파로 곡물 효능 정보 (0) | 2025.07.04 |
| 급성 간염 원인 알아보기 (0) | 2025.06.25 |